Brasil deve registrar mais de 34 mil casos de leucemia até 2025

Redação do Diário

Brasil deve registrar mais de 34 mil casos de leucemia até 2025
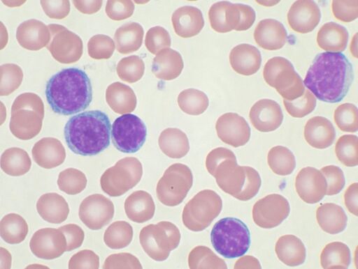
Até 2025, o Brasil deve ter 34,6 mil novos casos de leucemia, de acordo com estimativas do Instituto Nacional de Câncer (Inca). O número compõe as várias formas dessa doença que afeta cada vez mais o mundo. No mês de conscientização para prevenção, diagnóstico e combate à leucemia, Fevereiro Laranja, o tema é evidenciado para promover o acesso a informações e um olhar de superação de estigmas, uma vez que a maior parte das leucemias, quando identificadas precocemente e tratadas, podem ser curadas ou controladas.

O que é a doença?

As leucemias são formas de câncer que podem ocorrer em qualquer fase da vida, podendo ter manifestações agudas ou crônicas. De acordo com o Inca, em comum, elas têm como característica afetar a medula óssea, comprometendo sua função, e tendo como repercussões o prejuízo ao sistema imunológico, o que leva à ocorrência de infecções potencialmente severas, além de anemia e risco de sangramentos espontâneos, por comprometer a produção dos glóbulos vermelhos e das plaquetas, respectivamente.

Segundo o chefe do serviço de Hematologia do instituto, o médico Ricardo Bigni, 6.738 pessoas morreram em virtude da doença em 2020, porém, parte dos óbitos poderia ser evitada.

– Existem leucemias mais agressivas, que demandam tratamento intensivo e rápido, mas também existem os quadros que são curáveis e, quando não é possível, temos muitos casos de pacientes que, com o tratamento, conseguem manter o câncer sob controle – comenta.

Ao contrário de outros tipos específicos de câncer, em que determinado fator mostra relação direta com o desenvolvimento da doença, Bigni explica que, na maioria das vezes, não é possível estabelecer essa relação nas leucemias:

– Todos estamos em risco de desenvolver alguma doença em um dado momento da vida.

Evolução e tratamento

Em crianças e adultos jovens, normalmente a condição aguda é mais frequente, ou seja, com evolução mais rápida da doença. Por outro lado, em pacientes acima dos 50 anos predominam as leucemias crônicas. As manifestações clínicas mais comuns são:

Aumento de volume de linfonodos, popularmente chamados de ínguas;

Cansaço e astenia decorrentes de anemia;

Manifestações hemorrágicas, como sangramento de mucosas (como gengiva) ou manchas roxas na pele, devido à queda acentuada de contagem de plaquetas no sangue.

Essas alterações devem ser observadas e motivar investigações mais profundas.

Para os diagnósticos de leucemia, o tratamento é baseado no emprego de quimioterapia e imunoterapia, com abordagem que varia em função do tipo específico de leucemia.

Doadores de sangue e medula óssea são importantes neste processo

Considerando o tratamento, Bigni reforça a importância das pessoas a se disponibilizarem como doadores de sangue ou medula óssea:

– É esperado que os pacientes também necessitem de transfusões de sangue como suporte à terapia, o que faz com que a conscientização da população quanto à importância da doação de sangue seja fundamental. Também deve ser lembrado que, para algumas formas de leucemia, pode ser necessário o emprego do transplante de medula óssea para obtenção da cura, quando o tratamento quimioterápico não consegue proporcionar este resultado.

*com informações do Ministério da Saúde

Leia todas as notícias

Carregando matéria

Conteúdo exclusivo!

Somente assinantes podem visualizar este conteúdo

clique aqui para verificar os planos disponíveis

Já sou assinante

clique aqui para efetuar o login

Morre passageira de ônibus que saiu de Santa Maria e capotou em Cruz Alta Anterior

Morre passageira de ônibus que saiu de Santa Maria e capotou em Cruz Alta

Vídeo: homem tenta trocar produto e se revolta quebrando loja em Minas Gerais Próximo

Vídeo: homem tenta trocar produto e se revolta quebrando loja em Minas Gerais

Geral